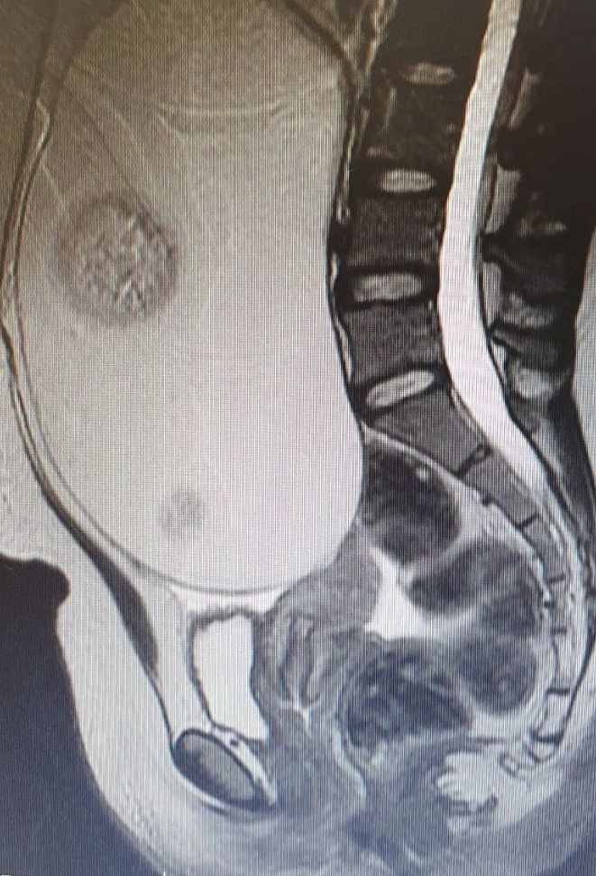
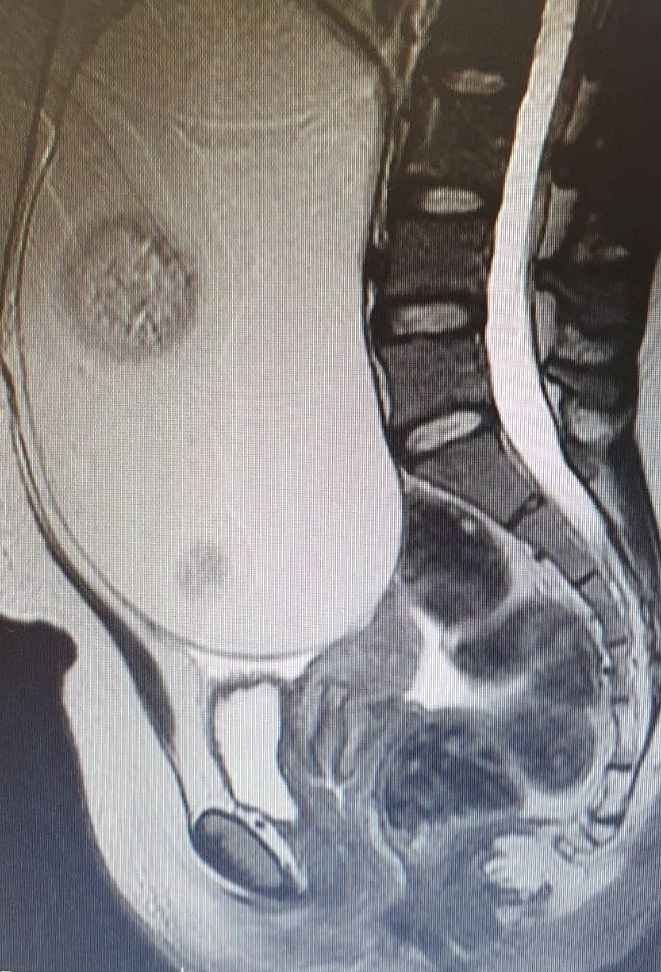
La Spitalul Orășenesc Mioveni, în premieră pentru acest spital, a fost extirpată laparoscopic o tumoră rară – teratom ovarian stâng, de 21 de cm.
Pacienta, în vârstă de 21 de ani, a fost diagnosticată întâmplător. Pentru că acuza dureri abdominale nespecifice, femeia s-a prezentat la Spitalul Mioveni, secția Obstetrică-Ginecologie. În urma consultului, i s-a recomadat și un examen RMN, care a evidențiat tumora.
Intervenția a durat două ore și jumătate, fiind dificilă pentru că tumora ocupa aproape în întregime cavitatea abdominală. Evoluția postoperatorie a fost favorabilă, iar pacienta s-a externat la două zile după operație.
Operația a fost efectuată de Mirel Leoveanu, medic specialist chirurgie generală (foto principal, și de Marius Pahonțu, medic specialist obstetrică-ginecologie.




